كيف يتم تبييض الأسنان؟

نيويورك: نتيجة تناول مأكولات ومشروبات معينة تصفر الأسنان مثيرة خجل صاحبها، خاصة إذا رافق ذلك وجود فجوات وثغرات بين الأسنان والقواطع، لكن ذلك كله له حلول وإن كانت مكلفة بعض الشيء إلا أنها تصنع الفارق، نقلا عن الجزيرة.
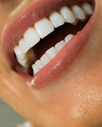
ويتسبب شرب الشاي والقهوة في اصفرار لون الأسنان، ويجعل التنظيف عند طبيب الأسنان أكثر نعومة ولمعانا، لكنه لا يعني أنها ستصبح بالضرورة بيضاء، فعملية تبييض الأسنان مسألة أخرى.
ويمكن تبييض الأسنان بمواد خاصة، لكن بعد عملية التبييض قد يحدث أحيانا أن تصبح أكثر حساسية، وذلك حسب ما يقول الدكتور ماركوس مقدم طبيب الأسنان بمدينة فرانكفورت، مضيفا أنه بعد عملية التبييض يتم وضع طبقة من معجون على الأسنان لتخفيف الحساسية.
ويقوم طبيب الأسنان بالاشتراك مع من يريد تبييض أسنانه باختيار درجة البياض التي يمكن تحقيقها وفقا لنماذج ألوان جاهزة، وبعد تنظيف الأسنان بشكل طبي يتم حفظ اللثة بمادة صناعية سائلة، بعد ذلك يتم استخدام المعجون المبيض للأسنان.
ويقول ماركوس إنه تستخدم مادة كارباميدوكسيد أو معاجين أخرى مختلفة الأنواع، ويتم إنتاج مادة هيدروجينية تساهم في تبييض الأسنان، وللمقارنة فإنها تشبه عملية صبغ الشعر التي تستخدم فيها أيضا مادة هيدروجينية.
والتبييض يؤثر فقط في بنيان السن الطبيعية، أما تيجان الأسنان والحشوات داخلها فلا يمكن تبييضها، وعند النظر في المرآة يتضح الفارق بين لون الأسنان قبل العملية وبعدها.
أما لعلاج الفجوات والثغرات بين القواطع والأسنان فإنه يتم سد الثغرات بطبقة خفيفة وشفافة من مادة السيراميك، حيث يقوم الطبيب بلصق تلك المادة على القواطع الأربعة العليا، ولكن قبل ذلك يتم حك الأسنان المجاورة بمقدار (سُمك) 0,3 مليمتر. ويقول الدكتور مقدم إن الأسنان تفقد مادتها المحكوكة نهائيا، وهذا يعني أن من يعالج بطريقة السيراميك يجب ألا يغيرها أبدا.
وهذا يعني استخدام السيراميك إلى الأبد، لكن أسنان السيراميك باهظة الثمن، فالسن الواحدة منها تكلف في ألمانيا بين ستمائة يورو (833 دولارا) وحتى ألف يورو (1389 دولارا). والسن الصناعية تبقى لمدة عشر سنوات، بعدها يجب تجديدها، ولكن البهجة التي يسببها نجاح العملية تستحق كل هذا الجهد




